사랑니 발치와 턱관절 치료에 특화된 치과입니다.
대학병원급 전문 진료 시스템과 안전한 수술 환경을 기반으로,
의뢰 환자분께 빠르고 신뢰도 높은 진료를 제공합니다.
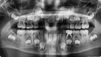
사랑니 특화 치과, 3분 발치
사랑니가 아프신가요?
근본적인 원인을 없애는 턱관절 치료
턱관절이 아프신가요?
사랑니가 아프신가요?
사랑니가 아프신가요?
사랑니 특화 치과, 3분 발치
사랑니가 아프신가요? 사랑니가 아프신가요?
숫자가 증명하는 전문성, 검증된 임상 경험으로
빠른 회복과 안전을 보장합니다.
일요일에도 열려있는 치과, 아픈 하루를 더 견디지 않도록
당일 발치로 빠르게 해결하세요.
절개를 최소화한 빠른 발치 방식으로 통증과 붓기를 줄이고 회복 기간을 단축합니다.
평균 3~5분 내의 신속한 발치로, 불필요한 조직 손상을 최소화하여 다음 날부터도 편안한 일상으로 복귀할 수 있도록 돕습니다.
통증이 적은 사랑니 발치와 외과적 수술이 특화된
구강악안면외과 전문의 대표원장이 처음부터 끝까지 직접 책임집니다.
난이도 높은 사랑니 발치도, 정밀 CT 진단과 숙련된 수술 경험으로
대학병원 의뢰 없이 한 공간에서 바로 진행합니다.
사랑니 특화 치과, 3분 발치
사랑니가 아프신가요?
근본적인 원인을 없애는 턱관절 치료
턱관절이 아프신가요?
사랑니가 아프신가요?
턱관절이 아프신가요?
턱관절이 아프신가요?
약물이나 온열, 초음파와 같은 물리치료
또는 턱관절 안정 장치(스플린트)로 수술 부담 없이 회복이 가능합니다.
구강 검진, 촉진, 교합 검사 또는 파노라마, CBCT, MRI 촬영을 통해
눈에 보이지 않는 부위까지 선명하게 관절 및 디스크 상태를 확인합니다.
공인된 전문 자격과 풍부한 임상 경험을 바탕으로, 처음부터 끝까지 책임 있는 진료를 약속드립니다.
세심한 진단과 계획, 안전을 최우선으로 한 치료 과정을 통해 환자 한 분 한 분이 안심하고 치료를 받으실 수 있도록 최선을 다합니다.
증상만 완화하는 임시 처방이 아닌, 재발을 최소화하기 위해
원인을 정확히 찾아 환자별 맞춤 치료 계획을 세웁니다.
단순한 기능 개선을 넘어, 턱과 주변 근육·관절의 균형을 맞춰
장기적인 안정과 편안함을 회복합니다.
근본적인 원인을 없애는 턱관절 치료
턱관절이 아프신가요? 턱관절이 아프신가요?
자세히 보기
치료 과정을 미리 알고 이해하면, 통증과 두려움은 훨씬 줄어듭니다.
시간이 조금 더 걸리더라도 환자분이 편안함을 느낄 수 있도록
충분히 설명하고 진행합니다.
자세히 보기정상 치아 외에 불필요한 치아가 더 생기는 현상
자세히 보기만성 자극이나 염증으로 잇몸에 혹이 생기는 현상
자세히 보기침샘이 막혀 입안에 물집이나 부종이 생기는 현상
자세히 보기매복치 주위에 발생하는 함치성 낭종 현상
자세히 보기앞니 사이 입천장 부위에 발생하는 낭종 현상
자세히 보기영구치가 제때 나오지 못하고 잇몸 속에 묻힌 현상
자세히 보기설소대가 두껍거나 짧아 혀 움직임을 제한하는 현상
자세히 보기구강 점막의 이상이 암으로 진행될 수 있는 현상
토 · 일 점심시간 없이 진료
목 · 공휴일 휴진
정밀 진단
- 구강 검진, 촉진, 교합 검사
- 필요 시 파노라마, CBCT, MRI 촬영을 통해 관절 및 디스크 상태 확인
비수술적 치료
- 약물 치료, 물리 치료 (온열, 초음파)
- 스플린트 (턱관절 안전 장치) 제작
- 교합 조정, 생활 습관 교정 (이갈이, 식습관 등)
수술적 치료 (필요한 경우)
- 관절 내 주사 치료 (프롤로 치료)
- 관절강 세척술 등 최소 침습 수술
앞니 한가운데 잇몸 뼈 속에 필요 없는 치아가 숨어 있는 경우를 말합니다.
이 치아는 앞니 배열을 방해하거나 영구치가 나오지 못하게 할 수 있어,
보통 조기에 발견하면 발치해 주는 것이 좋습니다.
- 국소마취 하에 잇몸을 살짝 열고 숨어 있는 과잉치만 조심스럽게 제거합니다.
- 이후 잇몸을 봉합해 안전하게 회복되도록 합니다.
수술은 짧은 시간에 안전하게 진행되며, 대부분 아이들은 수술 후 큰 불편 없이 회복합니다.
입안에도 혹처럼 불필요한 덩어리(종양)가 생길 수 있습니다.
그 중 흔히 볼 수 있는 것이 섬유종과 유두종입니다.
- 섬유종 : 잇몸, 뺨 안쪽, 혀 등에 자주 생기며, 오래된 자극(씹힘, 틀니, 교정 장치 등) 때문에 발생하는 경우가 많습니다.
- 유두종, 사마귀종 : 바이러스 감염이나 잦은 자극으로 인해 작은 사마귀처럼 돌출되는 양상을 보입니다.
대부분 양성(암 아님) 이지만, 크기가 커지거나 불편하면 제거하는 것이 좋습니다.
- 국소마취 후 병소 부위를 작게 절개하여 종양만 제거합니다.
- 필요한 경우 조직검사를 통해 정확한 진단을 확인합니다.
- 수술은 짧고 안전하게 진행되며, 회복도 빠릅니다.
점액낭종은 입술이나 뺨 안쪽에 생기는 투명하거나 푸른빛의 물집 같은 혹입니다.
침샘이 다쳐서 침이 고이면서 발생하는 경우가 많습니다.
보통 통증은 없지만, 자꾸 커지거나 재발할 수 있습니다.
- 국소마취 후, 혹과 주변 침샘을 함께 절제하여 제거합니다.
- 크지 않고 안전한 수술로, 대부분 당일 바로 일상생활이 가능합니다.
- 재발 방지를 위해 병소를 확실하게 제거하는 것이 중요합니다.
하마종은 혀 밑에 생기는 큰 물집 같은 혹으로, 점액낭종이 큰 침샘(혀밑샘)과 연결되어 발생하는 경우가 많습니다.
커지면 말하거나 음식을 먹을 때 불편할 수 있습니다.
- 국소마취 후, 혹을 완전히 절제하기보다 조대술(구멍을 만들어 침이 빠지도록 하는 방법)을 시행합니다.
- 병소의 벽을 일부 열어주어 침이 고이지 않고 자연스럽게 배출되게 합니다.
- 수술 시간이 짧고, 회복도 빠른 편입니다.
함치성 낭종은 나지 않은 치아(주로 사랑니, 송곳니) 주위에 생기는 물주머니(낭종)입니다.
치아가 잇몸 속에서 올라오지 못하고 머물면서 그 주위에 액체가 고여 발생합니다.
- 흔히 사랑니나 매복된 송곳니에서 발견됩니다.
- 크기가 커지면 주변 뼈를 흡수하거나, 옆 치아 뿌리를 밀어 손상시킬 수 있습니다.
- 대부분 통증이 없어 정기적인 X-ray 검사에서 우연히 발견되는 경우가 많습니다.
- 국소마취 후 잇몸을 열어 낭종과 함께 원인 치아를 제거합니다.
- 낭종 벽을 깨끗이 적출하여 재발을 막습니다.
- 병리검사를 통해 정확한 진단을 확인합니다.
- 작은 경우는 간단히 제거가 가능하고, 큰 경우는 단계적으로 치료하기도 합니다.
비구개관낭종은 앞니(중절치) 사이, 입천장 중앙 부위에 생기는
대표적인 비치성 낭종(치아와 직접 관련 없는 낭종)입니다.
- 코와 입을 연결하던 태생기의 통로(비구개관)가 퇴화하지 않고 남아 발생합니다.
- 보통 20~40대 성인에서 발견되며, 남성에서 더 흔합니다.
- 앞니 사이 치아뿌리에 통증은 없지만, 낭종이 커지면 앞니 사이가 벌어지거나
잇몸이 볼록 튀어나오는 증상이 생길 수 있습니다.
- 국소마취 후 입천장 쪽 잇몸을 열어 낭종 벽을 완전히 적출합니다.
- 치아와 관련 없는 병변이므로 앞니 신경치료는 필요하지 않습니다.
- 제거된 낭종은 병리검사를 통해 확진합니다.
- 대부분 재발 없이 안전하게 치료됩니다.
영구치가 나와야 할 시기가 지났는데 잇몸 속에 묻혀 나오지 못하는 치아가 있습니다.
이를 ‘매복치’라고 하며, 흔히 송곳니(견치)에서 많이 발생합니다.
치아가 스스로 나오지 못하면, 교정치료와 함께 개창술을 통해 치아를 밖으로 끌어내야 합니다.
- 국소마취 후, 치아가 묻혀 있는 잇몸을 작게 열어 치아 머리(치관)를 노출시킵니다.
- 치아 표면에 교정용 버튼(장치)을 부착하고, 교정력(작은 고무줄·와이어)을 이용해 치아를 이동시킵니다.
- 수술 자체는 짧고 안전하게 진행되며, 이후에는 교정치료와 병행하여 서서히 치아가 배열됩니다.
혀 밑에 있는 작은 막을 설소대(혀띠)라고 합니다.
설소대가 비정상적으로 짧거나 두꺼우면 혀 움직임이 제한되어,
- 아기가 수유할 때 젖을 잘 못 빠는 경우
- 어린이가 발음에 문제가 생기는 경우
- 치아 사이에 틈(이개치)이나 교정 문제를 유발하는 경우 등이 발생할 수 있습니다.
- 국소마취 후, 혀 밑에 있는 설소대를 작게 절개하여 늘려줍니다.
- 봉합은 최소화하여 회복이 빠르고, 대부분 일상 생활에 큰 지장이 없습니다.
- 아이들의 경우, 필요하면 보호자와 함께 간단히 진행할 수 있습니다.
구강암은 입안 점막이나 혀, 잇몸 등에 생기는 악성 종양으로, 조기 발견이 치료 예후에 매우 중요합니다.
전암병소란 아직 암은 아니지만, 방치하면 암으로 진행할 수 있는 병변을 말합니다.
대표적으로 백반증(하얀 반점), 홍반증(붉은 반점), 만성 자극에 의한 점막 변화 등이 있습니다.
입안의 하얀 반점이나 붉은 반점이 2주 이상 지속된다면 반드시 확인이 필요합니다.
통증이 없는 경우라도, 쉽게 피가 난다거나, 점점 커지는 경우는 주의해야 합니다.
육안으로는 단순 염증, 진균증(곰팡이 감염), 외상성 궤양과 구분이 어려울 수 있어 전문적인 진단이 필요합니다.
- 국소마취 후, 의심되는 병변 부위를 작은 크기로 절제하여 검사합니다.
- 병리학적 분석을 통해 암 여부, 전암성 변화 여부를 확진할 수 있습니다.
- 시술은 짧고 안전하며, 검사 후 일상생활에 큰 불편은 없습니다.